LẤY NHÂN MỤN VÔ KHUẨN CHUẨN Y KHOA

Giá: 200,000 VNĐ

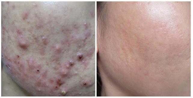
Phương pháp lấy lại làn da trẻ đẹp, căn bóng, mịn màng.

Thông tin chi tiết

Mụn là gì?

  • Mụn là bệnh về da thường gặp, xuất hiện ở mặt, lưng, ngực, cổ, cằm, mông, bả vai… với nhiều nốt khác nhau như sưng tấy đỏ, bọc mủ, ngứa và đau. Nguyên nhân gây ra mụn chủ yếu do hoạt động của nội tiết tố, hoặc các tác nhân ngoại cảnh như nhiễm khuẩn, tắc nghẽn lỗ chân lông…  Tùy vào biểu hiện trên da, mụn được chia ra nhiều loại khác nhau: mụn trứng cá thông thường, trứng cá đỏ, mụn ẩn, mụn bọc (mụn nốt nang), mụn cám, mụn đầu đen, mụn mủ, mụn viêm…

Nguy cơ gây mụn

1. Những ai có nguy cơ mắc phải mụn

Người có nguy cơ bị nổi mụn bao gồm: phụ nữ ở thời kỳ tiền mãn kinh, trẻ em đang trong độ tuổi dậy thì, người bị rối loạn nội tiết, thường xuyên bị stress căng thẳng, người làm việc trong môi trường ô nhiễm, người có làn da dầu và ít chăm sóc da, sử dụng mỹ phẩm kém chất lượng, chăm sóc da sai cách…

2. Yếu tố làm tăng nguy cơ gây mụn

Một số yếu tố liên quan đến nguy cơ gây mụn bao gồm:

  • Rối loạn nội tiết tố: khiến bã nhờn hoạt động mạnh, kích thích tiết nhờn, gây bít tắc lỗ chân lông, tăng sinh vi khuẩn gây mụn. Nếu da không được chăm sóc đúng cách các lỗ chân lông dễ bị bít tắc hoặc nhiễm khuẩn gây ra mụn.
  • Chăm sóc da sai cách: da mặt là vùng nhạy cảm và tiếp xúc trực tiếp với môi trường thường xuyên, do đó da mặt cần được chăm sóc cẩn thận hàng ngày. Nếu chăm sóc sai cách khiến da yếu đi, tạo điều kiện cho vi khuẩn gây mụn phát triển mạnh.
  • Dùng mỹ phẩm kém chất lượng hoặc không phù hợp: mỗi một loại da sẽ có sản phẩm phù hợp hỗ trợ chăm sóc da. Tuy nhiên việc lựa chọn mỹ phẩm không phù hợp và kém chất lượng, sử dụng trong thời gian dài gây nhiễm khuẩn da, lỗ chân lông bị bít tắc hình thành mụn.
  • Tác dụng phụ của thuốc: nổi mụn cũng có thể do các tất dụng phụ của thuốc, đặc biệt khi dùng thuốc có các chất như testosterone, lithium, corticosteroid, thuốc chống lao, thuốc chống động kinh, thuốc chống trầm cảm… trong thời gian dài khiến rối loạn nội tiết tố, tăng sinh dầu nhờn, gây mụn.
  • Chế độ ăn không lành mạnh: ăn đồ nhiều dầu mỡ, cay nóng, nhiều đường khiến nổi mụn nhiều hơn.
  • Căng thẳng: căng thẳng có thể gây rối loạn nội tiết làm tăng sinh tuyến nhờn, da dễ suy yếu, bít tắc lỗ chân lông và gây mụn.
  • Ô nhiễm môi trường: làm việc trong môi trường có nguồn nước hoặc không khí ô nhiễm, bụi bẩn, bụi mịn… lâu dài khiến da dễ nhiễm khuẩn, bít tắt lổ chân lông, tích tụ chất bã… sẽ gây ra mụn.

Triệu chứng dấu hiệu của mụn?

Mụn có nhiều loại, tùy vào nguyên nhân gây mụn sẽ có những biểu hiện khác nhau. Dựa trên nguyên nhân và các triệu chứng, mụn được chia thành nhiều loại bao gồm: mụn trứng cá, mụn ẩn, mụn đầu đen, mụn bọc, mụn cóc…

  • Mụn trứng cá:  mụn có đầu trắng nếu lỗ chân lông kín, mụn có đầu màu đen nếu lỗ chân lông hở. Mụn trứng cá gây sưng đỏ, mụn nhọt, mụn mủ, có các khối u lớn rắn gây đau và viêm, chứa đầy mủ bên dưới da. 
  • Mụn ẩn: phát triển ở sâu dưới nang lông, mụn nổi cục nhỏ li ti, không gây viêm sưng hay đau.
  • Mụn đầu đen: dễ nhận biết do có màu tối xuất hiện trên da, hơi nhô lên, không gây đau, không viêm. 
  • Mụn bọc: có biểu hiện là các nốt mụn sưng đỏ, cứng xung quanh, nhân mụn có dịch màu vàng hoặc trắng, mủ, chạm vào đau, dễ vỡ và để lại vết thâm lâu.
  • Mụn trứng cá đỏ: những mụn màu đỏ, thường ở quanh mũi và miệng, gây đau và ngứa

Chế độ sinh hoạt và phòng ngừa

Một số biện pháp giúp giảm nguy cơ bị nổi mụn mà bạn nên biết:

  • Rửa mặt hàng ngày bằng sữa rửa mặt không chứa dầu
  • Sử dụng sữa rửa mặt trị mụn không kê đơn để giúp bỏ dầu thừa trên da.
  • Sử dụng các đồ trang điểm dạng nước, không gây dị ứng da, làm giảm khả năng tắc nghẽn lỗ chân lông.
  • Tránh các sản phẩm chăm sóc da và đồ trang điểm có chứa dầu.
  • Luôn tẩy trang và làm sạch da trước khi ngủ.
  • Tắm hoặc rửa mặt sau khi đổ nhiều mồ hôi, tập thể dục.
  • Buộc tóc gọn gàng, hạn chế để tóc tiếp xúc với da mặt.
  • Tránh đội mũ, hay quấn băng đô quanh đầu…
  • Ăn uống lành mạnh, uống đủ nước, giảm các thực phẩm giàu năng lượng.
  • Giảm căng thẳng, thư giãn.

Dịch vụ khác