ĐIỀU TRỊ SẸO RỖ LÂU NĂM BẰNG PHƯƠNG PHÁP CẮT ĐÁY SẸO KHÔNG XÂM LẤN

Giá: 700,000 VNĐ

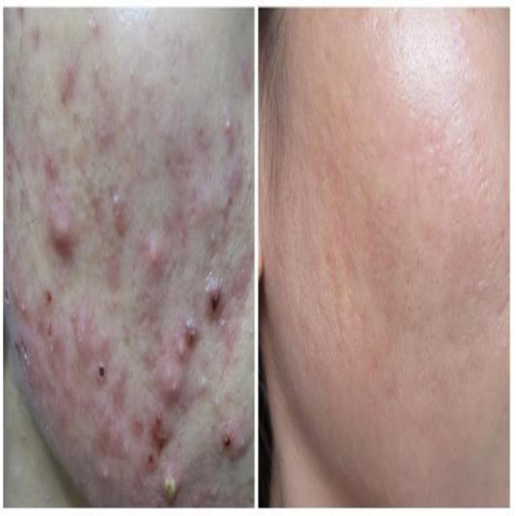
Bạn đang rất lo lắng cho làn da sẹo rỗ lâu năm của mình mà không biết nên chọn phương pháp điều trị nào và điều trị ở đâu cho uy tín?

Thông tin chi tiết

Điều trị sẹo rỗ càng sớm càng đạt hiệu quả cao. Nhưng với một số trường hợp, sẹo rỗ sâu và đã lâu năm thì cần áp dụng nhiều phương pháp điều trị kết hợp. Trong đó, các phương pháp trị liệu chuyên sâu như cắt đáy chân sẹo, lăn kim, laser… đang được áp dụng nhiều nhất vì mang lại hiệu quả cao.

Lăn kim/ phi kim: Là phương pháp tạo các tổn thương vi điểm gồm độ sâu khác nhau sao cho phù hợp với vết sẹo hiện tại giúp cải thiện bề mặt da rồi tạo nên kênh dẫn đưa hoạt chất cùng các yếu tố tăng trưởng lấp đầy sẹo rỗ.

  • TCA Cross: Ứng dụng kỹ thuật sử dụng trichloracetic acid nồng độ khá cao và chấm vào đáy sẹo rỗ làm phá hủy xơ sẹo. Sau đó, tạo nên phản ứng viêm thúc đẩy tăng sinh collagen mới. Phương pháp này phù hợp với sẹo đáy nhọn.
  • Peel da: Phù hợp với những sẹo rỗ nông, mới hình thành và sử dụng hoạt chất có tác dụng làm bong tróc bề mặt da như acid glycolic, trichloracetic acid... giúp cải thiện kết cấu của làn da.
  • Laser fractional CO₂: Đây là phương pháp dùng tia laser bóc tách vi điểm tạo và tạo nên các tổn thương nhiệt nhỏ trên làn da rồi thúc đẩy sự lành thương, lấp đầy sẹo rỗ. Phù hợp với nhiều hình thái của sẹo rỗ.
  • RF microneedling: Vi kim đưa vào dưới vết sẹo và tỏa ra sóng vô tuyến RF với một lượng nhiệt nhất định giúp tăng sinh mô sợi. Nguyên lý hoạt động của RF là sóng điện từ đi sâu vào dưới da (đến 20 mm) và làm cải thiện các cấu trúc mô da, thu hẹp miệng sẹo và thúc đẩy tăng sinh collagen cho làn da dần mịn màng, săn chắc trở lại.
  • Cắt đáy sẹo rỗ: Hay còn gọi là bóc tách sẹo, bóc tách vi điểm hay bóc tách đa điểm (subcision). Sử dụng thiết bị y tế tác động vào nốt sẹo rỗ giúp giải phóng các mô sẹo bị kéo dính vào lớp da bên dưới biểu bì. Phương pháp này thường được các bác sĩ da liễu kết hợp với lăn kim hoặc PRP để nâng cao hiệu quả điều trị sẹo rỗ.
  • Điều trị sẹo rỗ bằng PRP: Đây là phương pháp lăn kim tế bào gốc trị sẹo rỗ kết hợp tiêm PRP (huyết tương giàu tiểu cầu) chứa nhiều nhân tố tăng trưởng giúp tăng cường quá trình chữa lành vết thương. Đồng thời, thúc đẩy tái tạo và hình thành lại cấu trúc làm đầy vùng da sẹo rỗ cho làn da mịn màng hơn.

Dịch vụ khác